Information for parents
Clubfoot, also known as talipes equinovarus (klompvoet in
Afrikaans) is the most common congenital limb deformity and occurs in 1/1000
South African babies. There is a genetic component to developing this condition,
but it is not inherited in a predictable fashion.
Clubfoot can be diagnosed during pregnancy by ultrasound
scan, otherwise it will be diagnosed after birth by the presence of a typical
clubfoot deformity.
Often babies' feet look like they have clubfoot because of
the way they lie in the uterus, but in the absence of true clubfoot, the feet
are flexible and can be corrected.
Metatarsus adductus (pigeon toes) is another condition that
is often mistaken for clubfoot. In metatarsus adductus, only the front part of
the foot is skew and the rest of the foot is normal. It is still recommended to
seek medical advice if your child has metatarsus adductus.
What to do if my baby is born with clubfoot?
It is important check the baby’s whole body to look for
abnormalities of the spine, hips and other limbs. Clubfoot is usually an
isolated condition but may be associated with certain other conditions such as
spina bifida (myelomeningocele) and arthrogryposis.
Your GP or paediatrician should refer you to a paediatric
orthopaedic surgeon or clubfoot clinic in your region as soon as possible. It
is best to start treatment for clubfoot as soon after birth as possible, even
as soon as day 1!
The most effective treatment for clubfoot involves the
Ponseti method of serial casting. This entails weekly application of plaster
casts that gradually correct the feet over a period of 6-8 weeks. This may be
followed by a small procedure, an Achilles tenotomy, where the tight heel cord
is cut. This procedure does not require a general anaesthetic. Most clubfeet
will correct with this treatment process.
Once the feet are corrected, your child will have to wear
braces for the next 2-4 years. These braces are worn full time from the first
three months, and after that only at night and during naps.
SAPOS works closely with a local NGO, STEPS, that provide
support for parents with clubfoot. STEPS is involved with our regional clubfoot
clinics that are based at the major teaching hospitals all over the country.
There is wealth of information and resources on the STEPS website, which you access here.
Cerebral Palsy, or CP, refers to a group of conditions
caused by damage to the developing brain and literally means brain (cerebral)
lameness or paralysis (palsy). CP can look very different from child to child,
ranging from very mild symptoms such as a tendency to walk on the toes, to
severely disabled children that are dependant for all their physical needs.
Cerebral palsy can also be associated with other problems,
such as epilepsy, deafness and blindness.
Cerebral Palsy can be caused by something that happened
during pregnancy, during the birth process or shortly afterwards. Sometimes the
cause remains unknown and we know now that there are many genetic abnormalities
that can lead to the picture of cerebral palsy.
Though the cause of CP and the damage to the brain is not
reversable, many of the features are treatable. As these are complex
conditions, a multidisciplinary team should be involved in the care of your
child. This should include a paediatrician, physiotherapist, orthopaedic
surgeon, neurosurgeon and, if needed, speech therapist and occupational
therapist.
Orthopaedic surgeons work closely with these other
specialities and our role is to correct fixed deformities of the bones,
lengthen short muscles and sometimes transfer tendons to allow for more
balanced muscle action.
Because every child with CP is different, treatment is
tailored to what the specific child needs to optimise his or her function. Below
we provide some information on the most common interventions used for children
with CP, the indications, and what you can expect.
Physiotherapy and splinting
Physiotherapy and splinting are the first form of
intervention for children with affected legs and arms that suffer from CP. When
the child is young, increased tone or spasticity accounts for most of what we
see and there is no need for orthopaedic surgery. At this stage, regular
stretching, splinting and treatment that reduces spasticity is the best way to
manage the tight muscles. Splints act as supports for unstable joints and weak
muscles, and helps to keep the limbs, especially the feet, in a more functional
position.
Treatment that reduces spasticity
For children with whole body involvement, oral medication
such as baclofen and diazepam can reduce spasticity and make seating and care
easier and more comfortable.
Botulinum toxin A, commonly known as Botox®,
is an injectable agent that reduces spasticity locally. This may be indicated
if only a few muscles are involved. Botox®’s effect lasts for
approximately 4-6 months and it is especially useful to allow for stretching of
tight muscles and strengthening of weak muscles.
Neurosurgical procedures such as selective dorsal rhizotomy
(SDR), selective peripheral neurotomy (SPN) and intrathecal baclofen pumps
provide more lasting spasticity relief. For more information on neurosurgical
procedures for CP, click here.
Orthopaedic surgery
Orthopaedic surgery for CP can be divided into four groups.
Muscle lengthening for shortened muscles, tendon transfers to balance
unbalanced muscles, osteotomies to correct bony deformities and joint
stabilising procedures.
The muscles that become short most often are the muscles of
the calf and the back of the thigh (hamstrings). These muscles are often
surgically lengthened to allow standing on flat feet and standing with a
straight knee. Your orthopaedic surgeon will examine your child carefully to
find out which muscles are short and will benefit from lengthening. Following
muscle lengthening, the muscles will be weak and regular physiotherapy and
splinting is necessary to rebuild the strength of the lengthened muscle.
Tendon transfers are commonly performed around the ankle and
wrist to strengthen weak muscles and balance imbalanced muscles.
Osteotomy refers to a procedure where a bone is surgically
cut, and the shape changed. The most commonly performed osteotomies in children
with CP are osteotomies around the hip, thigh bone (femur) and shin bone
(tibia). Once the shape of the bone is corrected, osteotomies are usually fixed
with plates and screws on the inside. These plates and screws are made of
surgical stainless steel or titanium and does not cause any negative effects
whilst in the body. Your surgeon may decide to remove the plates and screws
once the bone has healed.
Joint stabilising procedures are usually performed at the
hip and foot. Children with CP, especially those that don’t walk, very often
develop hip dislocations. This is when the ball of the hip joint moves out of
the socket over time. A dislocated hip can become painful and it also makes it
difficult to open the legs for washing and diaper changes, and it affects
sitting. Once a hip has been dislocated for a long time, it becomes impossible
to put the hip back in joint therefore it is best to prevent the hip form
dislocating. Another commonly performed joint stabilising procedure is subtalar
fusion. With this operation, the bones of the heel of the foot are fixed
together to correct severe flatfoot.
Single Event Multilevel Surgery (SEMLS)
This refers to the concept of performing multiple procedures
at once to lengthen all the short muscles and correct bone deformities in one
sitting. This is extensive surgery, but it means that your child will only have
to go though the recovery once, though it may take many months.
For support in your region and more information on services
available, the links below may be useful.
Western Cape Cerebral Palsy Association https://wccpa.org.za
Cerebral Palsy Association, KwaZulu-Natal www.kzncerebralpalsy.co.za
Cerebral Palsy Association Eastern Cape www.cerebralpalsy.org.za
The United Cerebral Palsy Association of SA (Gauteng) www.ucpa.za.org
Malamulele Onward (Gauteng) www.malamuleleonward.org
Mpumalanga Association for Persons with Disabilities www.apdmpumalanga.org
Osteogenesis imperfecta (OI), also known as brittle bone
disease, is a condition that causes children’s bones to break or fracture easily.
It is caused by abnormal or insufficient collagen type 1, which is major part
of bone. OI is inheritable therefore if your child has is the condition, their
children will also be at risk of being born with OI.
Children with OI may also have other characteristic features
such as blue sclerae (sclerae are the white parts of the eye), abnormal brittle
teeth, being short for their age, bowed legs and joint laxity.
A child with OI may have very mild disease, in which case
the bones break easily, but the child is a normal size, has normal teeth and
has no other problems. Children with severe disease break their bones very
regularly, their limbs are bowed, and they are often short compared to children
their age.
The treatment of OI is aimed at preventing fractures or
breaks, correcting deformities, and improving function.
Calcium and Vitamin supplements are typically not helpful in
the management of OI, although it is important to make sure that your child
does not suffer form rickets, which can also cause brittle bones but is due to
a deficiency of calcium and vitamin D in the blood.
Ask your treating doctor about the use of bisphosphonates. Bisphosphonates
are a type of medicine that is most commonly used to treat older people with
osteoporosis. This treatment can decrease the amount of fractures your child
sustains and improve chronic pain.
Surgery for OI usually involves correcting deformity and
inserting rods or nails inside the bones to keep them straight and protect them
from fracturing again. Despite this surgery, the bones may still end or break
again, but it is less common.
Children with OI tend to stop breaking their bones once they
have reached adulthood.
For more support and to connect with other patients with OI,
see brittlebonessa on Facebook.
Flatfoot describes a normal variation in the shape of the
foot where the arch of the foot is low or collapsed. All children are born with
flatfoot and the arch of the foot typically only starts to develop after the
age of 2 years. Even after that, flatfoot is considered normal and should only
be treated if there are symptoms.
Symptomatic flatfoot presents with foot and lower leg pain and
‘tiredness’.
Flat feet do not affect balance, sporting ability or
posture. It has no late effects on the knees, hips or back and should be left
untreated in most cases.
If the flatfeet are associated with symptoms, the first line
of treatment is shoe inserts or arch supports. These shoe inserts can be bought
at most pharmacies and custom made shoe inserts are not better than
over-the-counter inserts. If this still does not relieve the symptoms, surgery
may be indicated.
In certain cases, flatfoot can be caused by other underlying
conditions. If the arch does not come back when your child stands on his/her
toes or when the foot is hanging free, it is a stiff flatfoot and an
orthopaedic opinion should be sought.
Bow-legs and knock knees
Toddlers often have bow-legs when they just start walking.
This may be accompanied by in-toeing. In children under the age of 2, bow-legs
are normal and part of the natural process of growing up. Not all children will
have bow-legs though. Following the age of 2 years, children’s legs are usually
straight, but they then tend to develop knock knees, this is most pronounced
between the ages of 4 and 6 years. We like to say that children’s legs should
be ‘straight by eight’.
If your child has bow-legs or knock-knees and are older or
younger than the age ranges mentioned above, medical advice should be sought. Bow-legs
and knock-knees can be caused by other conditions such as Rickets, which is a
condition caused by too little calcium and Vitamin D in the blood.
In South-Africa, the most common cause of bow-legs is a
condition called Blount disease. Blount disease is most common in overweight children,
those that started walking early and those of black African descent. Blount
disease is caused by abnormal or delayed growth at the inside part of the top
of the shin bone (tibia) and is usually progressive. Surgery is always
necessary to correct the legs in Blount disease.
The most common cause of in-toeing in toddlers is internal
tibial torsion, or turning in at the level of the shin bone. This usually resolves
spontaneously by the age of 4-years, and no intervention is required.
After the age of 4-years, increased femoral anteversion, or turning
in at the level of the thigh bone, is the most common cause of in-toeing.
Again, this may resolve spontaneously by the age of 10-years.
Another cause of in-toeing is metatarsus adductus, a
deviation of the forefoot towards the midline, also known as ‘pigeon toes’.
Usually, in-toeing does not require any treatment. Special
shoes, braces or physiotherapy has not been shown to help, with the exception
of metatarsus adductus.
Mild metatarsus adductus can be treated by stretching during
early infancy, whereas more severe cases may need serial casting. A simple
solution to mild or moderate metatarsus adductus is what we call ‘banana shoes’,
or stated simply, wearing shoes on the wrong feet. For this to be successful,
the shoes need to be fairly rigid so as to exert some pressure on the foot.
Surgery is indicated if the in-toeing does not resolve,
causes functional problems such as tripping or difficulty with shoe wear, or
rarely for cosmetic concerns.
Femoral or tibial derotation osteotomies are reliable
options for addressing in-toeing due to increased femoral anteversion or tibial
torsion. The bone is surgically cut and rotated to normal alignment, and then
fixed with a plate and screws or an intra-medullary nail. For in-toeing that
does not resolve due to metatarsus adductus, surgery to correct the alignment of
the foot bones can be performed.
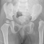
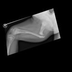
Hip dysplasia refers to underdevelopment of the hip joint and is most common in girls of Caucasian descent.
The hip is a ball-and-socket joint, in hip dysplasia, the socket
does not develop properly and is shallow compared to a normal hip. More like a
saucer than a cup. Sometimes, the hip may be completely dislocated, or out of
joint.
Risk factors for hip dysplasia include female gender, family
history of hip dysplasia and breech presentation. Hip dysplasia is also
associated with certain syndromes.
If left untreated, hip dysplasia leads to early hip arthritis
and pain, requiring hip replacement surgery at a young age. Untreated
dislocated hip will lead to a short leg on the affected side, limping and lower
back pain. Hip dysplasia always requires treatment.
Hip dysplasia is diagnosed by ultrasound and clinical
examination in new-born babies. If you have any risk factors, ultrasound should
be performed. In older children, X-rays of the hips must be done.
In new-born babies, treatment consists of a brace known as a
Pavlik harness. This brace must be worn full-time with regular check-ups
including ultrasound of the hip, to monitor the development of the hip joint.
This treatment is successful in most cases, but if not, surgery may be required.
Importantly, the sooner the hip is put back in joint, the better the expected
outcome.
Hip dysplasia refers to underdevelopment of the hip joint
and is most common in girls of Caucasian descent.
The hip is a ball-and-socket joint, in hip dysplasia, the socket
does not develop properly and is shallow compared to a normal hip. More like a
saucer than a cup. Sometimes, the hip may be completely dislocated, or out of
joint.
Risk factors for hip dysplasia include female gender, family
history of hip dysplasia and breech presentation. Hip dysplasia is also
associated with certain syndromes.
If left untreated, hip dysplasia leads to early hip arthritis
and pain, requiring hip replacement surgery at a young age. Untreated
dislocated hip will lead to a short leg on the affected side, limping and lower
back pain. Hip dysplasia always requires treatment.
Hip dysplasia is diagnosed by ultrasound and clinical
examination in new-born babies. If you have any risk factors, ultrasound should
be performed. In older children, X-rays of the hips must be done.
In new-born babies, treatment consists of a brace known as a
Pavlik harness. This brace must be worn full-time with regular check-ups
including ultrasound of the hip, to monitor the development of the hip joint.
This treatment is successful in most cases, but if not, surgery may be required.
Importantly, the sooner the hip is put back in joint, the better the expected
outcome.

Scoliosis
Scoliosis could be idiopathic, meaning that there is no
specific underlying cause, or it can be as a result of another condition. This
may be abnormal bony development, infections or even a leg length discrepancy.
Your orthopaedic surgeon will request X-rays and other tests to determine the
cause of the scoliosis and the most appropriate treatment.
For mild scoliosis, no treatment is indicated. If the abnormal
curvature of the spine increases, bracing and later surgery may be necessary. I
left untreated, severe scoliosis causes significant deformity, back pain, and
lung problems.
For more information, visit www.spinesurgery.co.za